怎么申请皇冠信用网 _广东一男子20多年不敢一个人出门,医生从他脑中取出10厘米活虫
皇冠信用网会员开户(www.hg0088.us)皇冠会员开户_登3代理,皇冠信用网/—开会员账号—皇冠信用网招登1登2登3皇冠信用网平台出售,家住汕尾的阿勇(化名)今年52岁,从21年前开始出现癫痫大发作以来,他几乎从未独自出过门怎么申请皇冠信用网 。近日,广州的医生从他颅内取出一条潜伏长达20余年、约10厘米的裂头蚴,他感到前所未有的轻松。
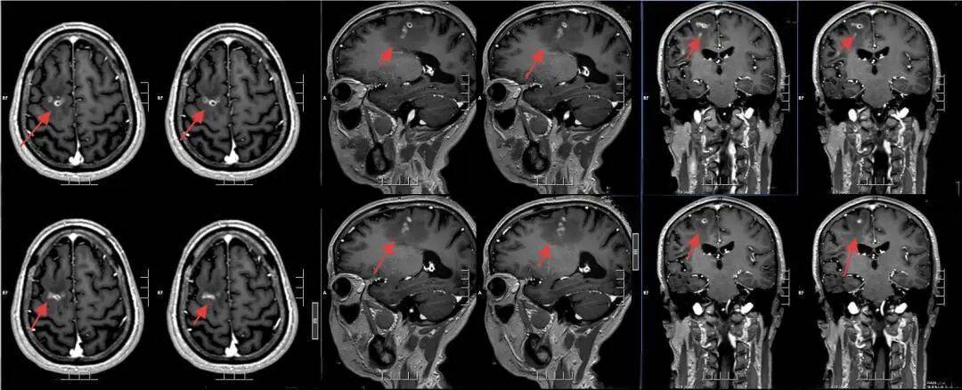
不敢独自出门的男子
“距离现在已经有21年了!”阿勇感慨道怎么申请皇冠信用网 。那晚,他在睡梦中突然四肢抽搐、牙关咬紧、眼球上翻,完全失去意识。在当地医院被诊断为“肉芽肿炎”,但医生告知,手术可能加剧发作,阿勇选择了保守治疗。
服用抗癫痫药后,阿勇依然会出现癫痫发作怎么申请皇冠信用网 。他的心理压力与日俱增,“每天在家,不敢一个人出门,担心随时发作。”他感觉脑袋始终堵着东西,只能靠小诊所的药片暂时缓解。
一年前,阿勇的病情进一步加重怎么申请皇冠信用网 。每次发作后,会出现短暂失语、左侧面瘫和肢体麻木。颅脑MRI检查结果提示,可能是寄生虫感染。为寻求进一步诊疗,阿勇来到广东三九脑科医院。
手术取出10厘米活虫
该院神经外二科张旭标副主任医师接诊后,根据影像结果,发现其右额叶病变,局部肉芽肿形成伴周围组织水肿怎么申请皇冠信用网 。“这是大脑为了隔离‘入侵者’筑起一道‘隔离墙’,周围的脑组织被刺激得肿胀。”张旭标解释,这些影像特征高度指向脑裂头蚴病。经比对,病灶范围稳定,手术时机成熟。

术前影像
“很激动,身体被搞垮了20多年怎么申请皇冠信用网 。”得知手术有望根治顽疾,阿勇在期待中夹杂着紧张。
手术采用神经导航技术,精确定位病变,张旭标在显微镜下小心抓取寄生虫、清理“虫窝”,避免损伤周围功能区脑组织怎么申请皇冠信用网 。术中,一条长约10厘米的灰白色寄生虫被完整取出。术后病理报告证实为裂头蚴。

张旭标在手术中
术后恢复良好的阿勇,脸上露出了笑容,“头不‘堵’了,感觉人都开朗、轻松了怎么申请皇冠信用网 。”
该院神经外二科副主任刘妲介绍,裂头蚴病多与饮食习惯相关,常因食用未煮熟的青蛙、蛇类,或饮用被污染的生水所致怎么申请皇冠信用网 。阿勇回忆,自己曾喝过生水,后来偶尔也会食用生腌虾蟹。
寄生虫在大脑中“安家”后,会持续刺激周围组织,引发肉芽肿和水肿,压迫神经结构,进而导致癫痫、头痛、肢体麻木甚至意识丧失怎么申请皇冠信用网 。由于潜伏期长、症状隐匿,极易被误诊为普通癫痫或脑肿瘤。刘妲特别提醒,预防寄生虫感染,关键要做到“三不”:不喝生水,不吃生食或未煮熟的食物,不用生肉敷贴伤口。
来源:广州日报
猜你喜欢
- 44分钟前皇冠信用网结算日是哪天_舰机多向抵近台岛!诸军兵种联合突击!东部战区组织陆军、海军、空军、火箭军等兵力,进行重要军事演习
- 44分钟前皇冠信用网结算日是哪天_换人立竿见影!替补登场的皮奥助攻劳塔罗破门,国米1-0亚特兰大
- 8小时前皇冠信用网怎么代理_数万星链发起“围攻”,中国六战六捷,对美完成降维打击
- 8小时前皇冠信用网怎么代理_历史新高!突破6万亿元!
- 8小时前皇冠信用网怎么代理_3-0领先终于能休息了!莫德里奇第70分钟被换下,亚沙里替补登场
- 8小时前正版皇冠信用网开户_32岁女教师突发疾病去世,同行叹惜“身体才是一切的本钱”,医生提醒——
- 11小时前皇冠信用网足球代理_中央广电总台副台长王晓真,黑龙江省委宣传部部长王岚,浙江省委秘书长邱启文,安徽省副省长孙勇,四川省委宣传部部长郑莉等共同发布
- 11小时前皇冠信用网足球代理_莫德里奇的温情告别:全场欢呼与阿莱格里的深情拥抱背后的故事
- 1天前皇冠信用网登2_马来西亚华人被排挤但中文流利,新加坡华人为何却主动抛弃中文?
- 1天前皇冠信用网登2_沙利文终于承认,佩洛西窜台是步臭棋,台海环境已发生不可逆改变
- 1天前皇冠信用网登2_尤文图斯2-0比萨:战术分析与数据透视,谁才是胜利的真正赢家?
- 1天前如何申请皇冠信用网_西安一小区电梯发生故障致1人坠亡,住户称事发楼栋已连夜检修,小区多部电梯此前曾出现故障
- 1天前如何申请皇冠信用网_曼联新星马努・科内即将加盟,能否成为中场新核心?
- 1天前皇冠信用网在线注册_碳纤维龙头宣布自2026年1月起提价 市盈率较低的概念股梳理
- 1天前皇冠信用网在线注册_又香又臭!赖因德斯本场1球+1失误致丢球 2关键传球+4对抗0成功
- 2天前皇冠信用网会员怎么开通_武汉一宠物狗陪女子在烧烤店吃饭口水直流,商家致歉:深度消杀
- 2天前皇冠信用网会员怎么开通_她说特朗普有“酒鬼性格”
- 2天前皇冠信用网注册账号_贵州举办2025满意旅游“痛客行”颁奖仪式
- 2天前世界杯皇冠代理平台_河南69岁“红薯奶奶”轮椅上创业30余年,一年收益200多万,每年发出的工人工资至少60万
- 2天前世界杯皇冠代理平台_曼联新星艾登-海文崛起:阿莫林的防守新核心
- 2天前皇冠信用平台出租_36岁银行女经理和丈夫先后自杀:生前花180万元预订豪车,身后留下两个幼女丨红星调查
- 2天前皇冠信用平台出租_打虎!郭学益任上被查
- 2天前皇冠信用平台出租_海文面无表情领取全场最佳奖杯,B费晒照打趣:笑一个嘛
- 2天前皇冠信用网会员注册_嘉兴市原市长李军,调任浙江省海洋经济发展厅


网友评论